Or you may live a full life and die from something else. Edward Kennedy and kills approximately 13000 Americans a year is aggressive and incurable.
Potential Therapy Found For Incurable Pediatric Brain Tumor News Center
How incurable brain cancer brought a family closer together.

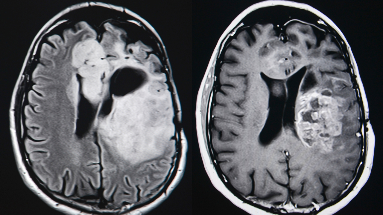
Incurable brain cancer. Glioblastoma is a type of very aggressive brain tumor. Glioblastoma multiforme also known as glioblastoma GBM or grade IV astrocytoma is a fast-growing aggressive type of CNS tumor that forms on the supportive tissue of the brain. See a GP if you have symptoms of a brain tumour that dont go away.
If your brain tumour cant be cured. Depending on your age at diagnosis the tumour may eventually cause your death. But despite several sessions of.
Patients with incurable cancer should be actively asked whether they feel a desire to die B4. It is also known as glioblastoma multiforme. Weakness vision problems or speech problems that get worse.
He had no inkilng that anything was wrong no headaches no nothing i just returned from nursing mother my two weeks off just to find my husband having a god almighty fit and from then on even after his six weeks chemo and radiotherapy my man is still not here where has he. Of the 80000 cases of brain tumors typically diagnosed each year about 15 percent are glioblastomas according to the American Brain Tumor Association. Glioblastoma is one of a group of tumors called.
At Opal Oncology we are dedicated to breakthrough research to discover a treatment for an incurable brain cancer GlioblastomaMultiforme We are conducting pivotal studies on a lead series that has shown highly promising pre-clinical data which could lead towards an regulatory approval for a clinical trial. The new review discussed the way that cannabidiol targets andor inhibits the cancer stem cell subpopulation in cancers such as the highly treatment-resistant form of brain cancer known as glioblastoma which is widely considered by conventional medicine as incurable. My husband was diagnosed with a grade 4 brain tumour on 11th Dec 18 just as my mother was dying from lung cancer.
By Northwestern University. Natalies nightmare started on September 1 2017. One womans courageous battle continues as she credits her familys love After an eye test led to a diagnosis of a brain tumour.
Research by Australian scientists could pave the way to a new treatment for a currently incurable brain cancer in children called Diffuse Intrinsic Pontine Glioma or DIPG. Lynn Cameron 48 from Blantyre Scotland was given six to 18 months to live after being diagnosed with an incurable brain tumour in December 2013. There is no evidence that enquiring suicidal thoughts leads to their emergence or increase.
Headaches often worse in the morning and when coughing or straining fits seizures regularly feeling sick vomiting memory problems or changes in personality. Hope Despite Incurable Brain Cancer August 3rd 2016 Rob Kelly Six years after completing radiation and chemotherapy for stage two astrocytomaa type of brain tumorKaitlin Jacobsen began experiencing the telltale signs of a swollen brainheadache nausea and hallucinations. Some brain tumours grow very slowly low grade and cannot be cured.
NBTS events offer me not only a way to support the much needed research but also an opportunity to meet and bond with fellow patients survivors and supporters. Common symptoms include. Glioblastoma is the most common grade IV brain cancer.
Glioblastoma multiforme GBM the brain cancer that killed Sen. The Brain Tumour Charity is calling on the government to provide free COVID-19 testing for families affected by an incurable brain tumour who are currently travelling abroad for cancer treatment. Life seemed pretty sweet and on track she said.
When you get a brain tumor diagnosis you can feel very alone in your fears and anxietiesnot wanting to worry close loved ones or unduly freak out friends and acquaintances. The aggressive nature of. It will depend on your tumour type where it is in the brain and how it responds to treatment.
Viruses That Kill Bacteria Could Tackle Incurable Brain Cancers London Evening Standard Evening Standard
Deadly Brain Cancer Stopped With New Compound
Brain Cancer Well It Turns Out The Pxa Is Actually By Melissa Toddy Medium
Flu Like Virus Being Used To Fight Incurable Brain Cancer I Health News
Tumour Targeting Viruses Hold Hope For Incurable Brain Cancers Imperial News Imperial College London
Unconscionable Cleveland Clinic Tweets Misleading Scans Promoting Experimental Vaccine For Incurable Brain Cancer
An Immunotherapy Approach To Brain Cancer Northwestern Medicine
Glioblastoma Multiforme Is An Incurable And Devastating Brain Cancer By Nyasha M The Breakthrough Mar 2021 Medium
Common Virus Used To Help Fight Incurable Brain Cancer Bbc News
Little Girl With Incurable Brain Cancer Goes To Prom Early
Brain Cancer Vaccine Could Boost Incurable Glioblastoma Survival From Months To Years
Brain Cancer Causes Types Symptoms Treatment Stages Survival Rate
Glioblastoma Rare Deadly And Incurable Brain Cancer Washington Times

Geen opmerkingen:
Een reactie posten
Opmerking: Alleen leden van deze blog kunnen een reactie posten.